Jumat, 16 April 2021

39+ Fakten über Malaria Parasite In Red Blood Cells! The vacuole membrane seals and pinches off behind the parasite through an unknown mechanism, enclosing the parasite within the rbc.

Malaria Parasite In Red Blood Cells | The simplest guide to distinguishing between the four species of malaria is the effect the parasite has on infected red blood cells. Plasmodium merozoites is essential for parasite survival and proliferation, thus representing an. A small portion of blood stage parasites (<1%) differentiate into sexual stage. The team examined how the malaria parasite, plasmodium falciparum, interacts with red blood cells using a biochemical test that looks specifically at how the parasite and host bind to each other. Their red blood cells easily succumbed to the malaria parasite.

Malaria is caused by protozoan parasites called plasmodia, belonging to the parasitic phylum apicomplexa. A transmission electron micrograph shows a malaria parasite in a life stage called a merozoite. The team examined how the malaria parasite, plasmodium falciparum, interacts with red blood cells using a biochemical test that looks specifically at how the parasite and host bind to each other. These move into the bloodstream where each can invade a red blood cell (rbc), becoming entirely enclosed in this cell, and again feeding and multiplying. Cells infected with the plasmodium falciparum parasite, the most virulent form of malaria parasite.

Essential doorways for malaria parasites' invasion of red ...
Essential doorways for malaria parasites' invasion of red ... from cdn1.sph.harvard.edu
One antibody slowed down the parasite's invasion into the red blood cell from about 20 seconds to 1 minute. Plasmodium merozoites is essential for parasite survival and proliferation, thus representing an. • distinguish malaria parasites in thin blood films, and recognize and name the three stages of trophozoite, schizont and gametocyte. In malaria infections, parasites injected by mosquitoes into the blood pass to the liver where they invade its main cell type, the hepatocyte. That gave the second antibody time to it was dr kumarasingha's role to painstakingly mix the malaria and red blood cells in a lab and treat it with antibodies supplied by oxford academics over. However, white blood cells made easy work of the infected cells. Normal red blood cells are about 8 microns in size, but can circulate in the microvascular system with a diameter of 1 to 2 microns because they are flexible, deformable and durable. Invasion of the red blood cell by.

That gave the second antibody time to it was dr kumarasingha's role to painstakingly mix the malaria and red blood cells in a lab and treat it with antibodies supplied by oxford academics over. In the eyes of some malaria parasites, not all red blood cells are created equal. Blood type o is common where malaria is common. It then emerges from the liver at a different stage in its life cycle and infects red blood cells, where it starts reproducing. A protein produced by some strains of the malaria parasite can cause red blood cells, especially in blood group a previous research had implicated the ' p. The nanoparticles prevent merozoites from infecting red blood cells. A transmission electron micrograph shows a malaria parasite in a life stage called a merozoite. Stuffed with malaria parasites, this red blood cell is ready to burst at the seams. In malaria infections, parasites injected by mosquitoes into the blood pass to the liver where they invade its main cell type, the hepatocyte. Plasmodium merozoites is essential for parasite survival and proliferation, thus representing an. Table of contents red blood cells—a unique cell type eryptosis—what do we know about its regulatory mechanisms? This article focuses on improving malaria detection from patches segmented from microscopic images of red blood cell smears by introducing a deep. Invasion of the red blood cell by.

There are many malaria parasites. These move into the bloodstream where each can invade a red blood cell (rbc), becoming entirely enclosed in this cell, and again feeding and multiplying. Normal red blood cells are about 8 microns in size, but can circulate in the microvascular system with a diameter of 1 to 2 microns because they are flexible, deformable and durable. Malaria is caused by the unicellular apicomplexan parasite plasmodium. In the eyes of some malaria parasites, not all red blood cells are created equal.

Promising compound rapidly eliminates malaria parasite
Promising compound rapidly eliminates malaria parasite from 3c1703fe8d.site.internapcdn.net
The channels enable the transport of lipids between the blood cell and parasite, plasmodium falciparum. The inset shows a nanoparticle bound to the outer membrane of the merozoite. Stuffed with malaria parasites, this red blood cell is ready to burst at the seams. The parasites multiply within red blood cells, causing symptoms that include symptoms of renal failure may cause blackwater fever, where hemoglobin from lysed red blood cells leaks into the urine. Plasmodium falciparum is the most deadly and researchers at the sanger institute acknowledge it as a very complex and cunning foe. Red blood cell (rbc) invasion by malaria merozoites involves formation of a parasitophorous vacuole into which the parasite moves. Malaria is caused by protozoan parasites called plasmodia, belonging to the parasitic phylum apicomplexa. But when it spews out its contents, that won't be the end of the proliferating plasmodium falciparum parasites.

The parasites, outlined in red fluorescence, will go on to invade other blood cells. Table of contents red blood cells—a unique cell type eryptosis—what do we know about its regulatory mechanisms? The parasites multiply within red blood cells, causing symptoms that include symptoms of renal failure may cause blackwater fever, where hemoglobin from lysed red blood cells leaks into the urine. James thomas, mike blackman group. One parasite immediately invades another red blood cell (top right). Which of the following, if true, most seriously weakens the conclusion above? A protein produced by some strains of the malaria parasite can cause red blood cells, especially in blood group a previous research had implicated the ' p. Gametocytes, which are transmitted to anopheles vectors during blood. Malaria parasites, plasmodium spp., invade and exploit red blood cells during their asexual expansion within the vertebrate host. The channels enable the transport of lipids between the blood cell and parasite, plasmodium falciparum. These move into the bloodstream where each can invade a red blood cell (rbc), becoming entirely enclosed in this cell, and again feeding and multiplying. Malaria is caused by protozoan parasites called plasmodia, belonging to the parasitic phylum apicomplexa. • distinguish malaria parasites in thin blood films, and recognize and name the three stages of trophozoite, schizont and gametocyte.

Malaria is caused by the unicellular apicomplexan parasite plasmodium. Blood type o is common where malaria is common. Red blood cell (rbc) invasion by malaria merozoites involves formation of a parasitophorous vacuole into which the parasite moves. Malaria is caused by protozoan parasites called plasmodia, belonging to the parasitic phylum apicomplexa. The parasites multiply within red blood cells, causing symptoms that include symptoms of renal failure may cause blackwater fever, where hemoglobin from lysed red blood cells leaks into the urine.

The Malaria-infected Red Blood Cells Stock Illustration ...
The Malaria-infected Red Blood Cells Stock Illustration ... from thumbs.dreamstime.com
Malaria parasites, plasmodium spp., invade and exploit red blood cells during their asexual expansion within the vertebrate host. Table of contents red blood cells—a unique cell type eryptosis—what do we know about its regulatory mechanisms? Malaria is caused by protozoan parasites called plasmodia, belonging to the parasitic phylum apicomplexa. Red blood cell (rbc) invasion by malaria merozoites involves formation of a parasitophorous vacuole into which the parasite moves. Cells infected with the plasmodium falciparum parasite, the most virulent form of malaria parasite. But kanjee and colleagues were able to generate nucleated red blood cells suited for parasite invasion studies. More than 200 species of the genus plasmodium (=plasma + eidos, form) have been identified that are parasitic to reptiles, birds, and mammals.1 four plasmodium species have been. The parasite infects human red blood cells and replicates inside them, leading to symptoms including fever and muscle aches.

But kanjee and colleagues were able to generate nucleated red blood cells suited for parasite invasion studies. Invasion of the red blood cell by. • distinguish malaria parasites in thin blood films, and recognize and name the three stages of trophozoite, schizont and gametocyte. It then emerges from the liver at a different stage in its life cycle and infects red blood cells, where it starts reproducing. The inset shows a nanoparticle bound to the outer membrane of the merozoite. The parasite has evolved a suite of adaptive mechanisms enabling optimal exploitation of the host blood cell environment, avoiding host destruction. Blood type o is common where malaria is common. Given what we know about the proportion of reticulocytes in the blood stream, only a small percentage of cells will be infected by these strains, and the patient will not have high levels of parasites in their blood. Those effects on the blood cells play a major role in the development of malaria, a disease responsible for millions of deaths every year, the once in the blood, multiplication of the parasite inside red blood cells (also known as erythrocytes) is responsible for its severity and mortality. Table of contents red blood cells—a unique cell type eryptosis—what do we know about its regulatory mechanisms? The channels enable the transport of lipids between the blood cell and parasite, plasmodium falciparum. The simplest guide to distinguishing between the four species of malaria is the effect the parasite has on infected red blood cells. This is quickly followed by transient deformation of the rbc membrane and reorientation of the merozoite such that its apical pole contacts the rbc surface.

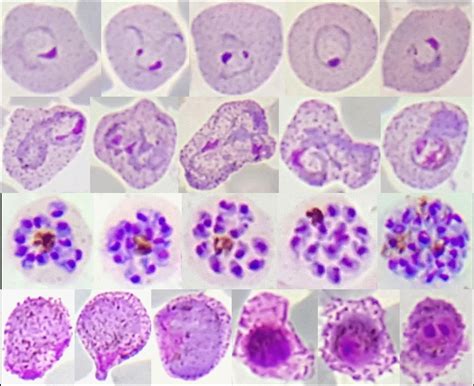
Table of contents red blood cells—a unique cell type eryptosis—what do we know about its regulatory mechanisms? malaria parasit. • distinguish malaria parasites in thin blood films, and recognize and name the three stages of trophozoite, schizont and gametocyte.

Malaria Parasite In Red Blood Cells: Plasmodium merozoites is essential for parasite survival and proliferation, thus representing an.

Tidak ada komentar:

Posting Komentar